EL MAPA DEL
ORGASMO FEMENINO
En la Universidad de Rutgers detectaron cuáles
son las zonas del cerebro que se activan con el clímax.
Por primera vez un grupo de científicos trazó "el mapa del
placer" en el cerebro femenino gracias al estudio de los orgasmos de
un grupo de mujeres en un laboratorio de la estadounidense
Universidad de Rutgers.
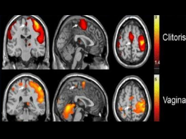
Descubrir qué parte del cerebro se activa cuando una mujer tiene
un orgasmo fue el objetivo de un neurólogo americano Barry Komisaruk.
Para averiguarlo sometió a decenas de mujeres a una prueba en un
escáner y les hizo una resonancia magnética en plena excitación
sexual. Las manchas rojas son las partes del cerebro que se activan
cuando se estimula el clítoris o la vagina. Cada uno manda
información a un sitio distinto del cerebro.
Esos estimulos son además muy similares a los que se generan
cuando se estimulan los pezones. Además se demuestra cientificamente
el poder analgésico de los orgasmos. Este mapa cerebral del placer
femenino ayudará a los médicos a tratar los problemas de falta de
deseo sexual.
Fuente: abc.es

|
Compartir este articulo : | | | | |
QUE ES UN ORGASMO Y COMO LOGRALO? - Sitios Argentina
COMO LOGRAR EL ORGASMO SIMULTANEO ... - Sitios Argentina
DIA DEL ORGASMO FEMENINO - Sitios Argentina
10 MANDAMIENTOS DEL ORGASMO - Sitios Argentina
|