|
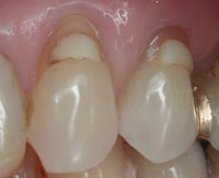
Esto es bastante común y además viene acompañado en muchos casos de una
sensibilidad desagradable. La restauración con resina protege la raíz del
mayor deterioro y elimina la sensibilidad. Algunas veces se utilizan
injertos de tejido para solucionar estos problemas.
Fuente
|
Compartir este articulo : |
| | | |

|