|
Cada día, más odontólogos en el mundo, eligen este tratamiento porque con él
es posible obtener los mismos resultados que con los métodos tradicionales
pero con el agregado de algunos beneficios.
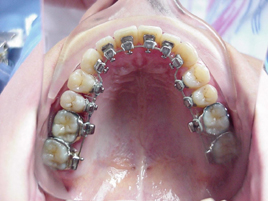
La Ortodoncia Lingual es una técnica correctiva elegida por pacientes
jóvenes y adultos que desean mejorar su dentadura sin perder ventajas
estéticas. Esta es, básicamente, la cualidad más requerida y que posiciona
al tratamiento al tope de las preferencias.
Si bien desde los inicios de la ortodoncia se han empleado recursos ubicados
dentro de la cavidad bucal como expansores y dilatadores, entre otros, lo
novedoso de esta técnica consiste en la posibilidad de cementar la totalidad
de los aparatos por la cara interior de la dentadura permitiendo la
continuidad del tratamiento hasta su finalización sin sacrificar la sonrisa.
Esta cualidad no es menor, si debemos mencionar el rechazo de los pacientes
a la instalación de brackets exteriores que modifican la apariencia, y en
algunos casos, llegan a minar considerablemente la autoestima, especialmente
en aquellos tratamientos que deben prolongarse durante varios años.
Los brackets linguales requieren un diseño específico, diferente a los
brackets vestibulares o frontales dado que la aplicación de la fuerza varía
y la mecánica de tratamiento también.
El incremento que han experimentado los índices de expectativa de vida y el
importante número de personas que alcanzan avanzada edad contando con sus
propios dientes, ha motivado un singular interés por mejorar ciertos
defectos dentarios como la separación entre dientes, mejoramiento de la
oclusión (mordedura), cierre de espacios por extracciones, salud periodontal,
por citar algunos.
La implantación de aparatología de ortodoncia invisible contribuye a brindar
mayor seguridad, mejor calidad de vida y una eficiente corrección de las
piezas dentales. Los expertos sostienen que una ortodoncia exitosa es
aquella que no sólo corrige defectos en los dientes sino que brinda un
equilibrio funcional que permita mantener los resultados obtenidos a lo
largo de un tiempo considerable.
Es importante señalar que algunas molestias menores son habituales al inicio
del tratamiento pero que rápidamente son superadas y que la duración del
mismo dependerá de los problemas a corregir, existiendo una pequeña
diferencia en más con los tiempos requeridos por una ortodoncia convencional
debido a los espacios interbrackets más reducidos.
Un profesional capacitado y responsable es el más indicado para recomendar
este tipo de tratamientos y la selección de la metodología más adecuada para
aplicar dependerá en gran medida de un correcto diagnóstico y una precisa
evaluación de la situación dentaria existente.
Fuente
|
Compartir este articulo : |
| | | |


|